The Applied Technical Services Family of Companies provides NDI CT services, analyzing crucial equipment with our industry-leading computed tomography tools.
Computed Tomography
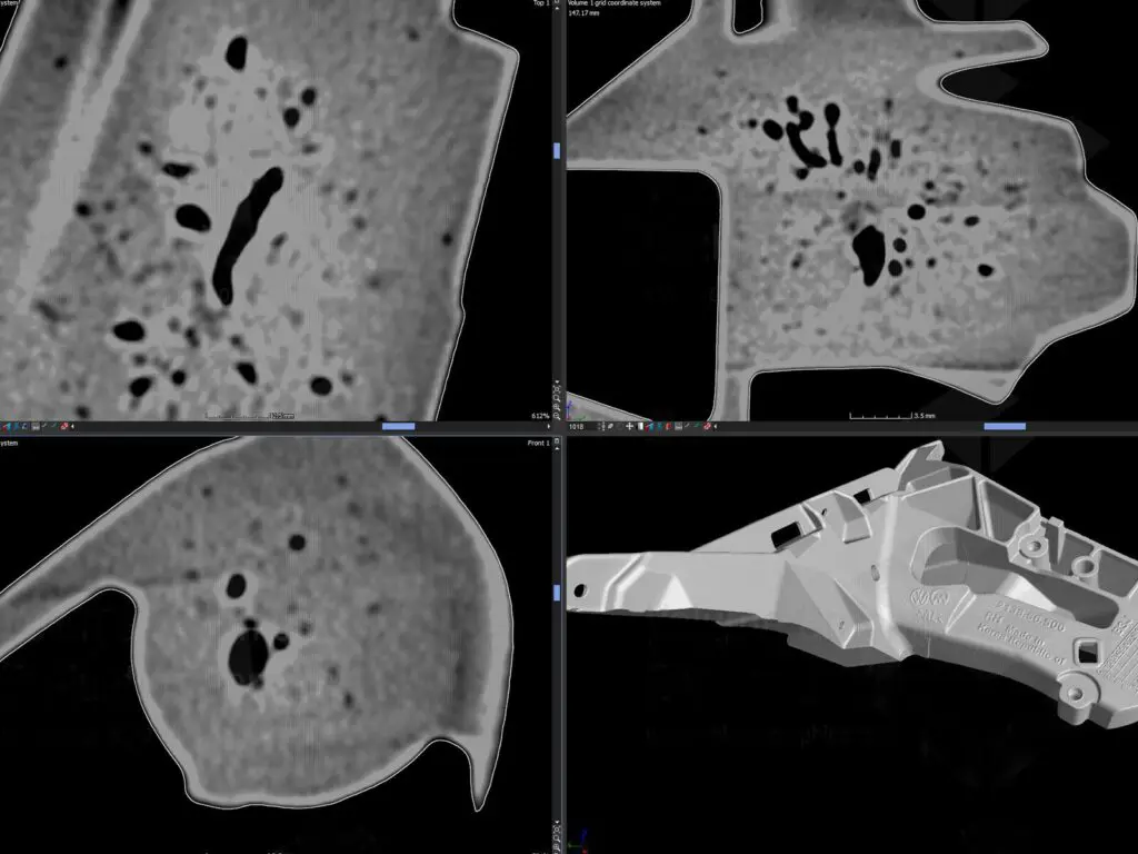
Computed tomography (CT) is a computerized x-ray procedure that builds an image of a material. An x-ray emitter takes numerous projections of the sample, capturing every angle of the subject and assembling it into a singular 3D model for easy manipulation and examination.
This 3D model shows features beneath the surface of a subject in more detail than conventional radiography methods, allowing computers to measure interior components and defects volumetrically by comparing the scanned model to its CAD model.
The Importance of Computed Tomography
Due to recent improvements in complementary technology, CT has become a practical testing method for industrial inspections. Scanning materials takes a small amount of time, and the improved DR imaging panels produce x-ray projections with a higher level of visual detail.
NDI CT Services at ATS
ATS’ team of certified technicians performs NDI CT services by placing an object in the instrument, situating it between an x-ray projector and an x-ray detector, and collecting data through tomographic reconstruction. We convert all collected data into cross-sectional photographs to create virtual 3D models. These detailed, three-dimensional CT scans are essential when measuring interior dimensions and locating design flaws.
CT Scanning Tools
- Zeiss Metrotom 1500, 225kV micro-focus
- 50g (110 lb) weight limit
- Analysis volume up to 300 mm (11.75 in) diameter x 600 mm (23.6 in) high
- Annual A2LA calibration
- Certified to accuracy within 4.5 microns
- Northstar Imaging X5000
- Multi-Axis Manipulator (x, z, tilt, rotation), able to support up to 250 lb
- Resolution of manipulator angle is 0.001 of a degree
- CT System scans with spiral acquisition scan elongated objects that cannot fit within a single exposure
- Multi-Axis Manipulator (x, z, tilt, rotation), able to support up to 250 lb
- Minifocus 450kV X-ray Machine (0.016” Focal spot at 3mA)
- Dual-energy capability with 225kV Microfocus X-ray Machine (As low as 0.0002” Focal size based on voltage)
Quality Assurance
The ATS Family of Companies supplies clients with quality, unbiased reports containing photographs, diagrams, conclusive findings, and repair recommendations. Our team of certified CT technicians follows all relevant codes and standards, including:
- API 653
- API 650
- API 570
- API 510
- ANSE/ASME
- 10CFR50
- TCIA
- NAS-410
- Nadcap
- IAW SNT-TC-1A
- FAA Repair Station
- CP-189
Contact Us
Contact the ATS Family of Companies to schedule NDI CT services by filling out the webform on this page or calling us at (888) 287-5227.

